No Enamel On Baby Teeth
No enamel on baby teeth. You dont have to suffer from being born with no enamel. Still it can affect both baby teeth and permanent teeth. I remember my dentist wanted to paint my teeth.
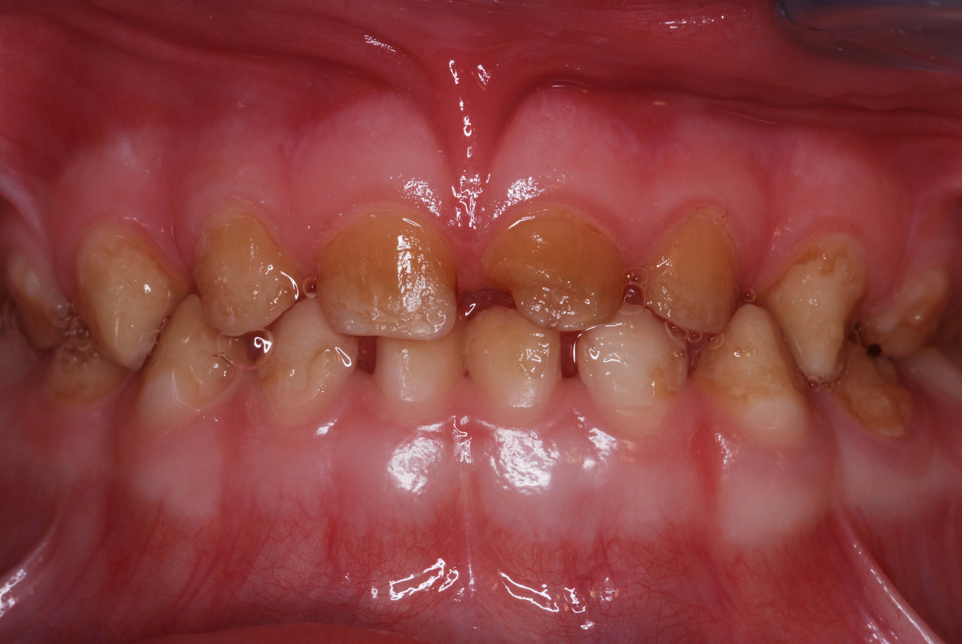
Baby teeth and permanent teeth can both emerge with enamel that is weak improperly formed or missing altogether. It can cause tooth sensitivity and lead to dental caries. There are many reasons why children can present with little or no enamel on their primary teeth baby teeth.
More than 75 of enamel defects in the primary teeth of children are considered to be developmental in nature. Baby teeth are the first set of teeth that your child develops. If you or your child experience a rough tooth surface discoloration and sensitivity you shouldnt hesitate to speak to your dental professional.
Enamel hypoplasia can be seen in both permanent and baby teeth. Cavities usually appear as brown or black holes in teeth. Sometimes though this incredible protective barrier doesnt develop fully in some children leading to enamel vulnerable to decay and stress fractures from chewing.
Fortunately even if your child does have enamel hypoplasia on their permanent teeth as they become older and more. Bacteria feed on carbohydrates and produce acid that destroys the tooth enamel. Some of the advice from Moms is.
I had most of my teeth capped when I was young then my permenant teeth grew in. In severe cases no enamel forms on the teeth and in standard cases the tooth enamel is thin and weak. Primary and permanent teeth form at different times and so it is possible that whatever occurred causing enamel hypoplasia on your childs baby teeth will not also be happening during development of their permanent teeth.
My Grandson has no enamel on his baby teeth and they suspect these might be his permanent teeth. Enamel Hypomineralization is slightly more common than hypoplasia but still relatively rare.
Enamel hypoplasia is a defect of the enamel that only occurs while teeth are still developing.
Primary and permanent teeth form at different times and so it is possible that whatever occurred causing enamel hypoplasia on your childs baby teeth will not also be happening during development of their permanent teeth. How Do You Know If You Have No Enamel On Your Teeth. Fluorosis can lead to white or brown spots on the teeth making the surrounding enamel look yellow. Enamel hypoplasia is a developmental defect that results in inadequate enamel. Tooth enamel begins to form before birth and can be affected by the health of the mother and the health of the child after birth. I was also born with no enamel on my teeth. Some of the advice from Moms is. Cavities usually appear as brown or black holes in teeth. Kids with less teeth enamel hypomineralisation need special dental care and diagnosing teeth enamel problems in children at an early age is key to preventing serious teeth problemsCathy Imperial Inspiro oral hygienist who specialises in dental for children talked to us about the issues she finds when checking.
It can affect both baby teeth and permanent teeth. It can cause tooth sensitivity and lead to dental caries. As enamel erodes the edges of teeth become more rough irregular and jagged. I would strongly suggest having a second opinion. Baby teeth are twice as likely to have dental cavities than non-hypoplastic teeth. He will be 4 March 6 and is a wonderful child. The inconvenience and potential harm of this situation is what calls for the immediate attention to this problem.
 
 										 				 
 										 				 
 										 				 
 										 				 
 										 				 
 										 				 
 										 				 
 										 				 
 										 				 
 										 				 
 										 				 
 										 				 
 										 				 
 										 				 
 										 				 
 										 				 
 										 				 
 										 				 
 										 				 
 										 				 
 										 				 
 										 				 
 										 				 
 										 				 
 										 				 
 										 				 
 										 				 
 										 				 
 										 				 
 										 				 
 										 				 
 										 				 
 										 				 
 										 				 
 										 				 
 										 				 
 										 				 
 										 				
Post a Comment for "No Enamel On Baby Teeth"